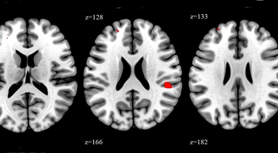
Корейские исследователи обнаружили увеличение областей мозга, ответственных за эмоциональную регуляцию, память и речь, у людей, которые регулярно работают сверхурочно. Для этого они сравнили МРТ мозга у медицинских работников, которые перерабатывают, и у их коллег, которые работают по стандартному графику. Изменения коснулись 17 областей мозга, среди которых были средняя лобная извилина, островок и верхняя височная извилина. Результаты исследования опубликованы в журнале Occupational&Environmental Medicine.
Сверхурочную работу связывают с заболеваниями сердечно-сосудистой системы, метаболическими нарушениями, а также психологическими проблемами.
Изменено пользователем Burenstam







Комментариев нет
Для публикации сообщений создайте учётную запись или авторизуйтесь
Вы должны быть пользователем, чтобы оставить комментарий
Создать учетную запись
Зарегистрируйте новую учётную запись в нашем сообществе. Это очень просто!
Регистрация нового пользователя
Войти
Уже есть аккаунт? Войти в систему.
Войти